男生之间有哪些激烈行为,其实非常危险?
所周知
男生之间的友谊
是需要肢体动作来维系的

但是这些动作吧
有时候不仅充满了力量
同时还充满了危险

01
猛男掰手腕
准确的说
不是掰手腕危险
是菜鸡掰手腕危险
掰手腕虽然是一项
在男生间流传很广的
力量 battle 活动
甚至还有职业赛
但大家扪心自问
你们真的知道
掰手腕具体是啥规则吗

这就导致了
一个很严肃的问题
你以为的掰手腕
和实际上的掰手腕
根本不是一回事


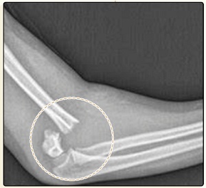
人的上臂骨骼
有一个很脆弱的点
大概就是这里

掰手腕的错误发力
可能会像拧瓶盖一样
咔的一声把这个地方拧碎
造成肱骨踝骨折

而且手臂长的人
会比手臂短的人
骨折风险更高
这么说来
手臂短的人也不是没有好处

02
强人锁男
说实话我也很不明白
为什么男生总有一种
要把别人放倒的冲动
这个动作的风险
其实不是窒息
而是对颈椎的伤害
男生进行动作交流的时候
多少有点没轻没重的
突然的冲击
可能会导致颈椎骨折脱位

轻则呼吸困难
重则高位截瘫
你们做好心理准备
对了
男生要是遇到有人对你锁男
记得别缩下巴
这样不仅容易脖子骨折
还可能把下巴也给你玩脱了
所以最好的办法是

03
阿鲁巴
也许有人会问
阿鲁巴是什么

但在我们这儿
它也叫开飞机、杠大叔、磨柱
位列「校园十大酷刑」之首
哪个男生高中毕业的时候
没见过一场
紧张刺激的阿鲁巴呢

这个动作的危险性非常复杂
我有一个朋友
曾声泪俱下的告诉我
……
而你们必须得知道的是

而撞击钝器造成的伤害
是最容易导致蛋蛋破裂的
对了
说到这个行为
其实是有一定
校园欺凌的影子存在的

就是说这个行为吧
是真的不太提倡
04
千年杀
接下来你们将看到的是
木叶隐秘传体术奥义
千年杀

不知道为什么
男生对别的男生的屁股
总有一种执念
但是千年杀这种
从岛国流传出的秘术
完全就是伤敌一千自损一千
如果杀的位置靠下
那里是阴囊周围
容易造成蛋蛋撕扯扭伤
医院躺一个月

如果杀的位置靠上
那里是尾骨
尾骨尖其实很脆弱
杀太狠就可能骨折
医院躺三个月

如果刚好正中小菊
倒不一定要住院
但可能白手指进
红黄手指出

什么?
你没击穿敌人护甲
反而自己手指骨折了?
那你少说得绑个半年
因菊负伤
传出去也是个校园传说了
以后走在大街上遇见校友
想必人家一定对你印象深刻

- END -

